こんにちは。長野県岡谷市の太田歯科医院、歯科医師の太田大聖です。
「小児矯正はいつから始めるのがいいですか?」
長野県岡谷市の太田歯科医院でも、とても多いご相談です。
結論からお伝えすると、
“歯並びが悪くなってから”ではなく、
“顎の発達をコントロールできる時期”に始めることが大切です。
小児矯正の1期治療とは?
小児矯正には大きく分けて2つの段階があります。
■ 1期治療
顎の成長を利用して、永久歯が並ぶスペースをつくる治療
■ 2期治療
永久歯をワイヤーやマウスピースで整列させる治療
私たちが目指しているのは、
できるだけ1期治療で終わらせること。
つまり、抜歯や本格的なワイヤー矯正をできる限り避けることです。
小児矯正はいつから?顎を広げるベストな時期
岡谷市で小児矯正をお考えの方に知っていただきたいのは、
上下の1番・2番・6番(6歳臼歯)が生えそろう頃が重要なタイミング
ということです。
目安は小学校1〜3年生頃。
この時期は、
✔ 6歳臼歯が生え、咬み合わせの基準ができる
✔ 前歯部の骨の成長発育が著しい
✔ 顎の骨がまだ柔らかく、成長方向を是正しやすい
つまり、
“歯を並べる”のではなく、
“歯が並ぶ顎を作る”ことができる時期なのです。
顎を広げる治療は、
成長の力を利用できるこの時期が最も効果的です。
乳歯列期でも早期治療が必要なケース【反対咬合】
ただし、すべてが様子見でいいわけではありません。
特に注意が必要なのが、
乳歯列期の反対咬合(受け口)
上顎は下顎よりも先に成長します。
そのため、
乳歯の時期に上顎の発達が不足していると、
その後の成長差で骨格性の反対咬合に進行する可能性があります。
この場合、
小学校入学前でも早めの小児矯正を検討することが大切です。
「永久歯が生えてから」では遅くなることもあります。
なぜ“様子を見る”だけでは不十分なことがあるのか?
よくあるご質問に、
「永久歯が全部生えそろってからでも大丈夫ですか?」
というものがあります。
もちろんケースによりますが、
顎の成長ピークを逃してしまうと、
・ 抜歯矯正が必要になる
・ ワイヤー矯正が必須になる
・ 外科的治療の対象になる可能性もある
といった未来につながることがあります。
だからこそ、
歯並びではなく、“顎の発達”を診ることが重要です。
1期治療で終わらせるために大切なこと
岡谷市の太田歯科医院では、
✔ 成長段階を見極めた診断
✔ 顎の拡大治療
✔ 口呼吸の改善
✔ 舌の位置指導
✔ MFT(口腔筋機能療法)
を組み合わせ、
将来的な本格矯正をできる限り回避することを目標としています。
歯並びは単なる「見た目」の問題ではありません。
呼吸・姿勢・舌の機能など、
全身の発育と密接に関わっています。
岡谷市で小児矯正をご検討の方へ
太田歯科医院では、
小児歯科専門医の視点から
「今始めるべきか」「経過観察でよいか」を丁寧に診断します。
無理に矯正をすすめることはありません。
しかし、
適切なタイミングを逃さないことは非常に重要です。
・ 前歯がガタガタしている
・ 受け口が気になる
・ 永久歯が大きくて並ぶか不安
・ 小児矯正はいつから始めるべきか知りたい
そんな方は、ぜひ一度ご相談ください。
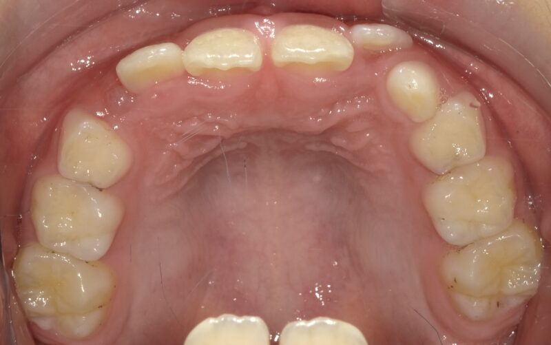
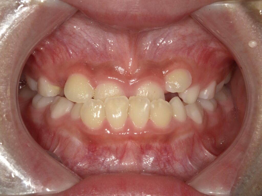
【症例】混合歯列期の反対咬合(8歳・男児)
混合歯列期に上顎の発達不足が見られ、反対咬合を呈していたため、治療介入。
上顎の成長を促すことで、骨格性の反対咬合への進行を防ぐことができました。
■ 初診時の状態
この時期はすでに上下の1番・2番・6番が萌出しており、
顎の成長コントロールが可能な重要なタイミングでした。
反対咬合を放置すると、
・ 上顎の成長が抑制される
・ 下顎が前方に成長しやすくなる
・ 将来的に骨格性の受け口へ進行する可能性
があるため、早期の1期治療を開始しました。



■ 治療の考え方
本症例では、
「歯を動かす」のではなく、
「上顎の発達を促す」ことを目的としました。
混合歯列期はまだ骨が柔らかく、
適切なタイミングで介入することで顎の幅や前方成長をコントロールできます。
装置による上顎の拡大と、
咬合誘導を行いながら経過を観察しました。
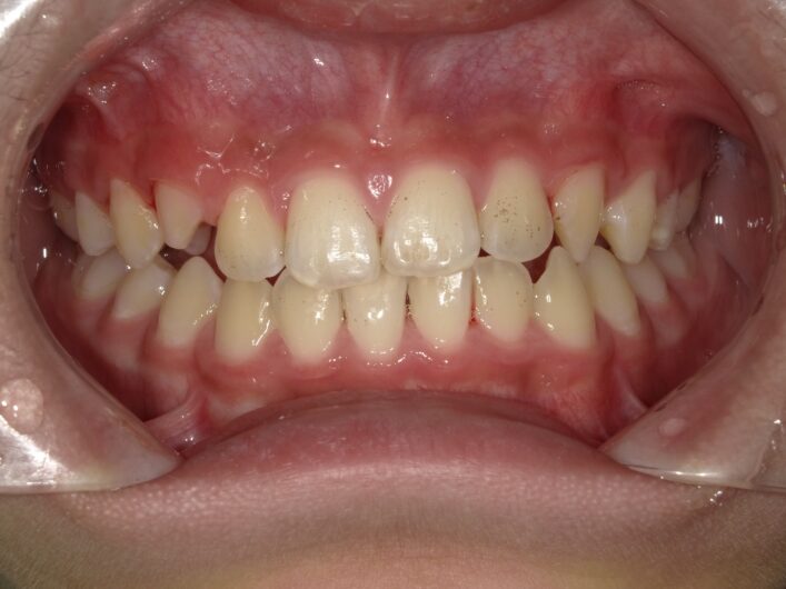
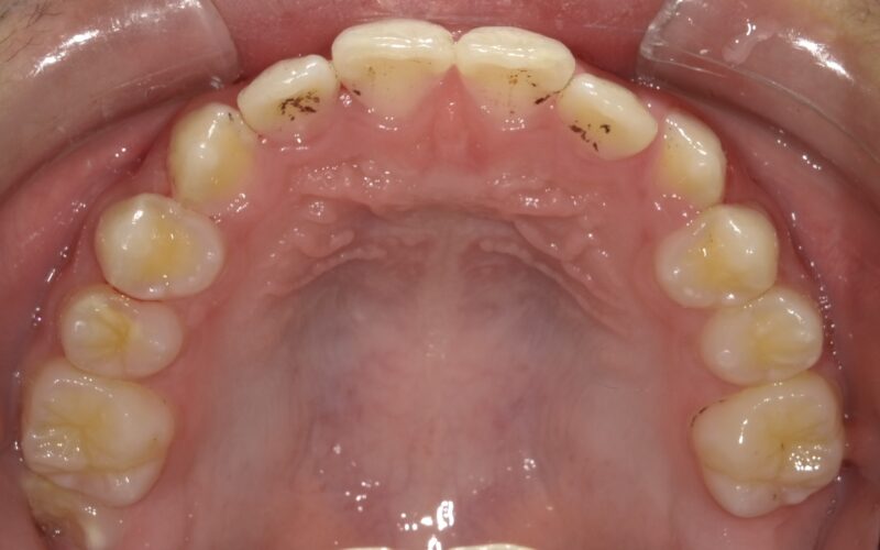
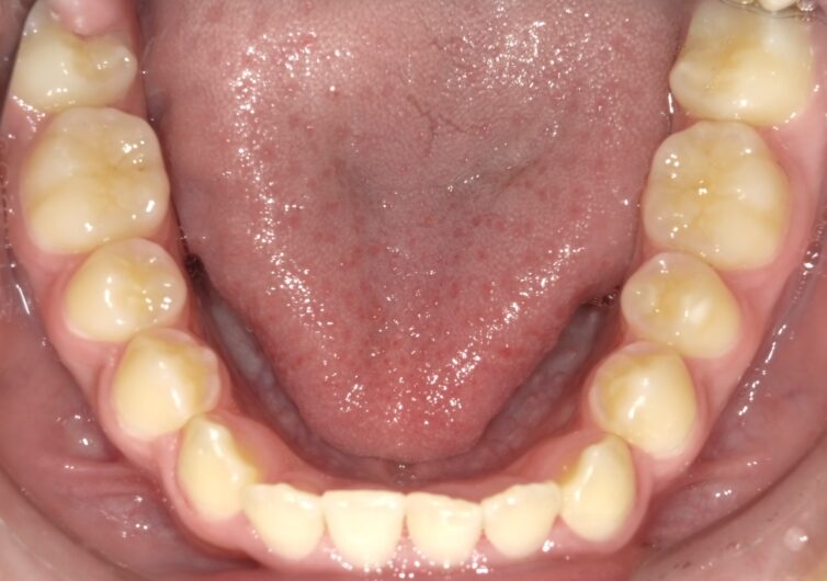
■ 治療経過(約3年間)
・上顎の幅径の改善
・前歯部の反対咬合の解消
・上下顎の前後的バランスの改善
成長を利用しながら、無理のない矯正を行うことで、
永久歯が自然に並ぶ環境を整えることができました。



■ 治療結果
3年の経過で反対咬合は改善し、
現在は安定した咬合関係を維持しています。
現時点では、
本格的なワイヤー矯正(2期治療)の必要性は低いと判断しています。
まとめ|小児矯正の開始時期は“顎の成長”で決まる
✔ ベストタイミングは上下1・2・6番が生えそろう頃
✔ 乳歯列期の反対咬合は早期治療が重要
✔ 目標は1期治療で終わらせること
将来の抜歯矯正や大がかりな治療を避けるために、
今できることを一緒に考えていきましょう。
岡谷市で小児矯正をお考えの方は、
太田歯科医院までお気軽にご相談ください。
執筆者
太田大聖(おおた たいせい)
長野県岡谷市「太田歯科医院」
日本小児歯科学会専門医/日本障害者歯科学会認定医
小児歯科・小児矯正を専門とし、
顎の発達を重視した1期治療や反対咬合の早期治療に取り組んでいます。
岡谷市で小児矯正をご検討の方は、お気軽にご相談ください。


