【歯が白く濁っている?】小児の「エナメル質形成不全」とは?原因・症状・対策を岡谷市の小児歯科が解説
こんにちは。岡谷市の太田歯科医院、歯科医師の太田大聖です。
今回は、「エナメル質形成不全(えなめるしつけいせいふぜん)」という子どもの歯に関する重要なトピックについて、小児歯科の立場からお話しします。
■ エナメル質形成不全とは?
「子どもの歯が白く濁っている」「茶色く変色している」「表面がザラザラしている」など、気になったことはありませんか? それ、むし歯ではなく、エナメル質形成不全かもしれません。
エナメル質は、歯の最表面を覆う硬い層で、私たちの身体の中で最も硬い組織です。主に歯の保護を担い、以下のような役割を持っています:
・ 食べ物をしっかり噛めるようにする
・ 冷たい飲み物や熱い食べ物による刺激から神経を守る
・ むし歯菌の侵入を防ぐバリアの役割を果たす

ところが、このエナメル質がうまく形成されないまま歯が生えてくる状態を「エナメル質形成不全」と呼びます。
■ 症状は?どうやって見分ける?
エナメル質形成不全の主な症状は以下の通りです。
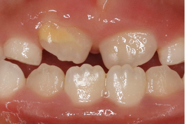
・ 歯の表面に白濁・黄褐色・茶色のシミや模様がある
・ 歯が欠けやすく、むし歯になりやすい
・ 冷たいものや熱いものがしみる(知覚過敏)
・ 表面がデコボコ、ザラザラしていて見た目が気になる
・ 噛み合わせると痛みを感じることがある
特に見た目がむし歯にそっくりなため、学校検診や一般歯科で「むし歯」と誤診されてしまうケースが非常に多いのです。
■ エナメル質形成不全の原因は?
原因は一つではなく、以下のように多岐にわたります。
① 外傷によるもの
乳歯がある時期に転倒や事故で歯をぶつけた場合、その真下で成長中の永久歯の形成に影響が出ることがあります。

② 乳歯のむし歯
乳歯の虫歯が根の先まで進行すると、骨の中で育っている永久歯に炎症が波及し、形成不全が起こることがあります。

③ 高熱による影響
幼少期に40℃以上の発熱を何度も繰り返すと、体全体に影響が出るのと同様に、歯の形成にも影響します。

④ 遺伝性の病気
ごく稀に、すべての歯に異常が見られる先天性の形成不全症もあります。この場合は「エナメル質形成不全症」と診断されます。
■ 最近注目されている「MIH」とは?
ここ数年、歯科業界で注目されているのが「MIH(Molar Incisor Hypomineralization)」です。
MIHは、**上下の前歯4本(中切歯)と6歳臼歯(第一大臼歯)**に限局して発生する原因不明のエナメル質形成不全です。
◯ MIHの特徴
・ 発生頻度は約**11.9%**とされ、小学生の約10人に1人の割合で見られます
・ 見た目は白っぽい濁りや茶色の模様
・ 歯の崩壊やしみる症状が出やすい
・ 左右非対称で、片側だけ重度ということも多い
・ 成長とともに症状が悪化するケースもあります
■ 日本ではまだ知られていない?
MIHは2001年にオランダのWeerheijm医師によって世界的に報告されました。欧米では広く認知されていますが、日本での認知度はまだ低く、保護者だけでなく歯科医師でさえ見落としてしまうことがあるのです。
また、学校検診で「むし歯」と誤診されやすいため、本来なら削らなくてよい健康な歯が削られてしまっている現状もあります。
■ 保護者に伝えたいこと
お子さんに次のような様子が見られたら、一度小児歯科でのチェックをおすすめします:
・ 歯が変色している(白・茶・黄色など)
・ 歯が欠けやすい、食べにくい
・ 歯の見た目が気になって笑わなくなった
・ 冷たいものを避ける、しみると訴える
特に「乳歯がむし歯ゼロだったのに、6歳臼歯が生えたら急にボロボロ」というケースは、MIHが疑われます。
■ 実際のMIHの症例(当院での治療)
ある女の子が学校検診で「むし歯」と診断され、複数の歯科医院を回っても「むし歯かもしれない」「よくわからない」と言われて、最終的に当院に来院されました。
診断の結果は「MIHによるエナメル質形成不全」でした。冷たい水を飲むだけでしみていたため、初めは薬での処置を行いましたが改善せず、被せ物による治療を選択。
治療後はしみることがなくなり、好きだったアイスやかき氷も楽しめるようになったそうです。前歯の色も気にしていたので審美的にも配慮した治療を行いました。


■ 小児歯科の立場から
むし歯ゼロ=健康な歯とは限りません。
歯の構造的な弱さや形成不全は見た目や症状で見逃されがちです。
太田歯科医院では、MIHを含めたエナメル質形成不全にも対応できる体制を整えております。
保護者の方の不安を少しでも解消できるよう、丁寧なカウンセリングと適切な処置を行っております。
■ まとめ|気になる歯の変色は、まず相談を
エナメル質形成不全やMIHは、早期の診断・早期の対応が何よりも大切です。
・ 子どもの歯が茶色くなっている
・ 冷たいものでしみている
・ 見た目が気になる、欠けてきた
このような症状があれば、むし歯とは違う可能性があります。
岡谷市で小児歯科をお探しの方は、ぜひ一度当院へご相談ください。
▶ 次回予告
次回は、「MIHの原因」や予防法、日常生活でできる工夫について詳しくご紹介いたします。
日本小児歯科学会専門医・日本障害者歯科認定医
歯科医師 太田大聖(岡谷市・太田歯科医院)


