こんにちは、岡谷市の 太田歯科医院 、歯科医師の太田大聖です。
お子さんの歯と聞くと「虫歯」をまず思い浮かべる保護者の方が多いと思います。
確かに虫歯は最も身近で予防が大切な病気ですが、実はそれ以外にも見逃してはいけないお口のトラブルがたくさんあります。
「虫歯はなさそうだから安心」と思っていたら、実は歯ぎしりや口呼吸が原因で歯並びに影響していたり、外傷が永久歯にダメージを残していたりするケースも少なくありません。
今回は、小児歯科の立場から「虫歯以外に注意すべき子どものお口トラブル」について詳しく解説します。
歯ぎしり ― 成長期に多いけれど要注意
子どもの寝ているときの「ギリギリ…」という歯ぎしり、気になったことはありませんか?
実は歯ぎしりは成長過程でよく見られる現象で、顎の発育や噛み合わせの調整のために自然に起こっている場合があります。多くは一時的なもので心配はいりません。
しかし、歯ぎしりが強すぎたり長期間続いたりすると、以下のようなリスクが出てきます。
・ 歯の摩耗や欠け
・ 歯の摩耗による神経の露出
・ 顎の関節への負担(顎の痛みや音)
・ 永久歯の歯並びや咬合に影響
特に歯がすり減って短くなってきている場合や、朝起きたときに顎が疲れている様子がある場合は、歯科での相談が必要です。
マウスピースの使用や生活習慣の見直しで改善できるケースもあります。
ただし、低年齢であればほとんどの場合は、経過をみます。これは、マウスピースを入れてしまうと成長の妨げになってしまうからです。
特に、時期として多いのは最初に永久歯が生え始める5歳〜7歳が多いです。この時期は大人の噛み合わせになろうとしているために噛む位置を探しているような正常な行動だと思ってください。
口呼吸 ― 全身への影響もある見逃せない癖
「いつも口が開いている」「寝ているときに口で呼吸している」――そんな様子が見られたら、口呼吸のサインかもしれません。
口呼吸が習慣化すると、
・ 虫歯や歯肉炎になりやすい
・ 歯並びが乱れやすい(出っ歯や開咬など)
・ 口臭が強くなる
・ 風邪をひきやすくなる
睡眠の質の低下や集中力への影響
といったリスクがあります。
口呼吸の原因は、さまざまですが、近年は新型コロナウイルスによるマスク社会の影響で口呼吸の子供達が多くなってきていると感じています。
口呼吸を続けてしまうと、本来「鼻」で細菌やウイルスを除去するはずのフィルターを通さないため、直に身体に細菌やウイルスが入るため将来的な免疫力の低下に繋がります。
口呼吸の原因は子どもそれぞれ違います。単純に「口で呼吸しないで!」と言ってもそんな簡単に治せるものではありません。
正しい診断をした上でベストに治す方法を一緒に考えるために早めの受診をおすすめします。
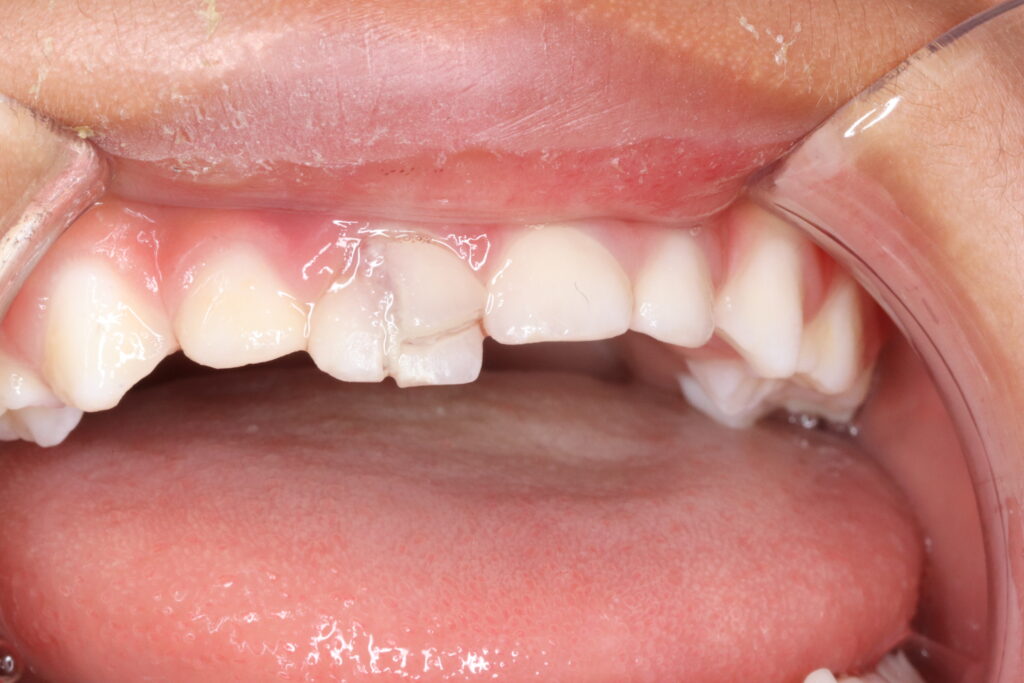
歯の外傷 ― ぶつけた歯は必ずチェックを!
活発に動き回る子どもは、転倒やスポーツで歯をぶつける外傷がよくあります。
特に前歯をぶつけることが多く、見た目の問題だけでなく、歯や歯の根に大きなダメージを与える可能性があります。
乳歯だからといって油断は禁物です。乳歯の外傷は下に控えている永久歯の芽に影響を及ぼし、変色や形成不全を起こすことがあります。
最悪の場合、永久歯の生える方向が変わってしまい、一生生えることができなくなってしまうケースもあります。
「3歳でぶつけたけど、なんともなさそうだから、受診しなかった」という失敗が永久歯を失うこともありますので、どんな些細なことでも受診していただくことをおすすめします。
もし歯が折れてしまった場合は、折れた歯を乾燥させないことが大切です。牛乳や生理食塩水に浸けて歯科医院に持参すれば、再植できる可能性があります。
たとえ、泥がついていても水で洗わず、そのまま牛乳や生理食塩水に浸けて持ってくるようにしてください。
また、完全に抜けてしまった場合でも、条件が整えば戻せるケースもあるので、とにかく早く歯科医院を受診することが重要です。
噛み癖・舌癖 ― 歯並びを乱す隠れた原因
指しゃぶりや舌で前歯を押す癖、爪を噛む癖などは、歯並びや咬み合わせに悪影響を与えます。
・ 指しゃぶり → 出っ歯や開咬
・ 舌癖 → 前歯が噛み合わない、発音への影響
・ 爪噛み → 歯の欠けや歯肉の炎症
小さいうちは自然に治る場合もありますが、長引くと歯並びの乱れにつながり、矯正治療が必要になるケースもあります。
保護者が早めに気づいて声かけや習慣改善を行い、必要に応じて歯科で相談しましょう。
早期発見・早期対応が「抜かずに治す」につながる
虫歯以外のトラブルは、見逃されやすい一方で将来の歯や全身の健康に大きな影響を及ぼします。
太田歯科医院が大切にしているテーマは「抜かずに治す」こと。
そのためには虫歯だけでなく、歯ぎしり・口呼吸・外傷・癖などを早期に見つけ、適切に対応することが欠かせません。
保護者の方が「少し気になるな」と思った段階で歯科を受診することが、お子さんの歯を守る最善の方法です。
お口の中の全ての疾患の予防は子どもからその先に「抜かずに治す」があると思っております。
ですので、お気軽にお問い合わせください。
まとめ
子どものお口の健康を守るには、虫歯予防だけでなく以下のトラブルにも注意が必要です。
・ 歯ぎしり:歯や顎関節に影響、長引く場合は歯科へ
・ 口呼吸:虫歯・歯並び・全身に悪影響、免疫が落ちることも
・ 歯の外傷:乳歯でも永久歯に影響、すぐに歯科受診を
・ 噛み癖・舌癖:歯並びの乱れや発音への影響、早めの習慣改善を
太田歯科医院では、「抜かずに治す」という理念のもと、小児歯科専門医としてお子さんの歯を守るための診療を行っています。また、障害者歯科認定医として、発達障害や特別な配慮が必要なお子さんへの歯科治療にも対応しています。
「ちょっと気になるな」と思ったら、ぜひお気軽にご相談ください。私たちと一緒に、大切なお子さんの歯を守っていきましょう。
医療法人至善会 太田歯科医院
太田 大聖(小児歯科専門医/障害者歯科認定医)


